保存粹齒-林俊國醫師: 8月 2023 WFU

2023年8月31日 星期四

前牙複合樹脂直接復形

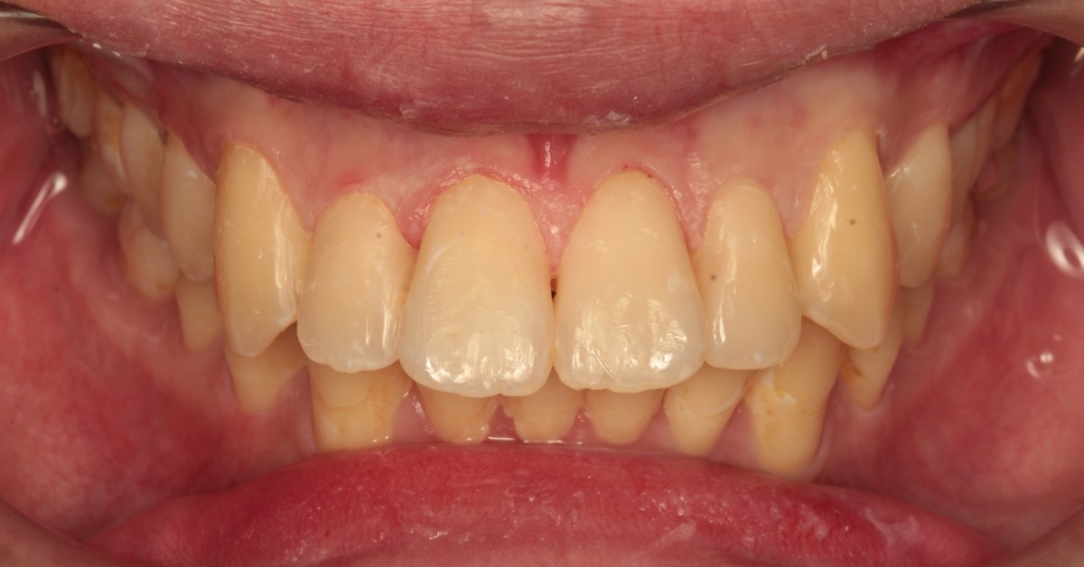
 C學生,做完全口矯正且已拆除矯正器後,發現前牙區域都有變色情況。





經臨床檢查後發下,舊有樹脂材料有變色情況且齒頸部也都有脫鈣與蛀牙現象 ( 白色箭頭處 ),建議復形治療。





跟 C學生討論後,以複合樹脂進行直接填補,一起改善前牙不美觀問題。

復形治療當次。





治療後兩個禮拜追蹤。





一年後追蹤